Laboratori në Lombaridi në Spitalin Sacco në Milano ka publikuar një foto sesi duket koronavirusi. Në imazhet e mikrografisë elektronike tregohen grimcat virale të bashkangjitura në membranat qelizore dhe kurorën e tyre tipike të glikoproteinave sipërfaqësore.
Siç bëjnë të ditura mediat italiane, koronavirusi është izoluar në Laboratorin e Sëmundjeve Infektive nga grupi i koordinuar nga Massimo Galli dhe Gianguglielmo Zehender, në bashkëpunim me Anatominë Patologjike të drejtuar nga Manuela Nebuloni të Departamentit të Shkencave Biomjekësore dhe Klinike Luigi Sacco.
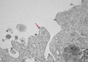
Kanë qenë Antonella Tosoni dhe Beatrice Marchini, ata që bënë vëzhgimet nën mikroskopin elektronik dhe prodhuan imazhet që tregojnë virusin vdekjeprurës. Në të parën, me një zmadhim prej 30000X, vërehen grimcat virale të SarsCov2 (të treguar nga shigjeta), të bashkangjitura në membranat në sipërfaqe dhe qelizat e brendshme, të përdorura për izolim.
FOTO:











