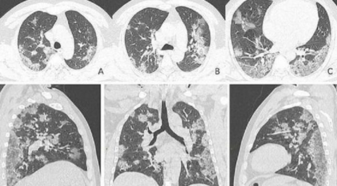
Këto imazhe me rreze X i përkasin një shtetasi kinez 44 vjeçar që vdiq nga koronavirusi. Siç mund ta shihni edhe në fotot e tmerrshme, rrezet X tregojnë shkatërrimin që sëmundja ka bërë në mushkëritë e pacientit, shkruan The Sun.
Në to shihen njolla të bardha në cepat e mushkërive, në ato që radiologët quajnë opaciteti i xhamtë, që është mbushja e xhepave të ajrit.
Këto anormalitete u identifikuan nga doktorët në skanimet e pacientëve të koronavirusit deh janë të ngjashme me ato të pacientëve që kanë vuajtur më parë gjatë epidemive të SARS e MERS. Viktima 44-vjeçare punonte në një treg prodhimesh deti në Vuhan dhe tregon qartë anormalitetin.
Skanimet tregojnë sesi lëngu në xhepat e ajrit u bë më i theksuar me kalimin e kohës siç dallohet duke krahasuar imazhet nga A deri te F.
Ky shtetas u shtrua në spital më 25 dhjetor 2019 me ethe e kollë për dy javë, e më pas u diagnostikua me pneumoni të rëndë respiratore. Megjithë trajtimet e marra ai vdiq një javë më vonë.










