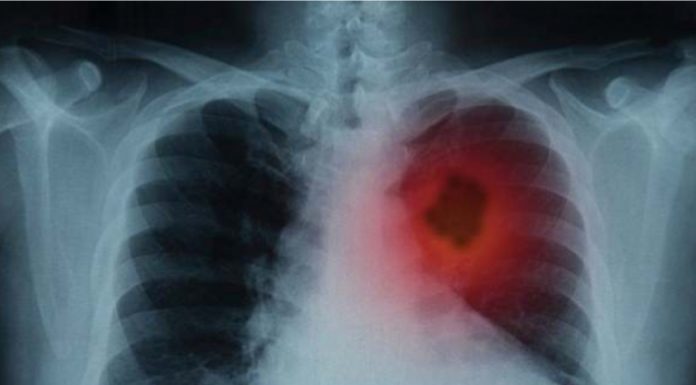
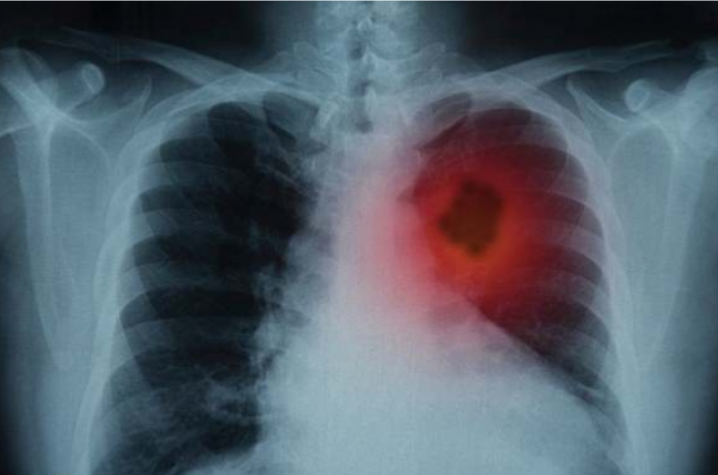
Çdo vit në botë vdesin 1.6 milion persona nga kanceri i mushkrive.
Duhanpirja dhe ndotja cilësohen si shkaqet kryesore të shfaqjes së kancerit në mushkri, ndërsa këtyre i shtohet edhe mënyra e të jetuarit.
Sëfundmi, shkencetarët kanë zbuluar një përllogaritës mbi mundësine e prekjes nga kenceri i mushkrive përgjatë 6 apo 16 viteve të ardhshme duke marrë në konsideratë si vlerësues kryesor duhanpirjen dhe peshën.
Testet kanë treguar se përllogaritësi në fjalë është 90 për qind i saktë nëse të dhënat i jepni korrekte.
Albeu.com ju këshillon të bëni një verifikim të gjendjes suaj përmes këtij përllogaritësi, megjithatë është mjeku ai që bën vlerësimin final tuajin.










